Shop Medical Lab Equipment
Max Sensitive ECL Western HRP Substrate, 100ml, MEIP80701
The Max Sensitive ECL Western HRP substrate is a highly sensitive and enhanced detection kit used in conjunction with horseradish peroxidase (HRP) in immunoblotting experiments. This product was developed based on a new generation of enhanced chemiluminescent substrates, which emit light upon the occurrence of a chemical reaction under the catalysis of HRP and can be used to detect biomacromolecules such as proteins immobilized on membranes. Its high sensitivity enables easy detection of antigens at the PG level (and even the FG level), strong persistence of the luminescent signal, and detection with either X-ray film exposure or a chemiluminescent imager.
Product components:
Max Sensitive ECL-A (Luminol Enhancer): 50ml
Max Sensitive ECL-B (Peroxide): 50ml
Notes:
1. Wear gloves and use clean equipment such as clean forceps during contact with the membrane to avoid protein contamination and high background.
2. Protected from light; the formulated substrate working solution for chemiluminescence detection can be stored stably at room temperature for 8 h. Sunlight or other strong light can affect the working fluid, so strong light should be avoided for a long time. Short exposures to normal laboratory lights do not affect the use of working fluids.
Note: since this product is the most sensitive commercially available ECL luminescent solution, please experiment the best dilution ratio of primary and secondary antibody to avoid overexposure !
Procedure:
1. Rinse the Western blot membrane well after incubating with HRP labeled antibody.
2. Mix the Max Sensitive ECL-A liquid and Max Sensitive ECL-B liquid in an equal volume ratio, i.e., to obtain ECL working solution (present application); About 3-5 ml ECL working solution is required per 5 cm x 8 cm of blotting membrane.
Note: the tips for aspirating fluid A and fluid B must be separate.
3. The liquid on the surface of the blotted membrane is blotted dry on absorbent paper and spread on a plastic film.
4. Drop the well-coordinated ECL working liquid uniformly on the surface of blotting membrane, after reaction for about 2 min, remove the ECL working liquid.
5. Clamp the blot film between two layers of plastic film, make a radiograph, or place inside a luminescent imager to photograph.
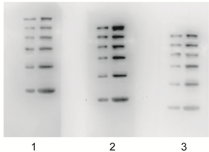
Comparison of effects
Fig.1
1. Exposure result diagram of ECL luminescent liquid of some famous brand M company
2. The Max Sensitive ECL Western HRP substrate (MEIP80701) exposure result
3. The exposure result diagram of ECL luminescent liquid from T company.

Fig.2
Exposure result chart of ECL luminogen from a famous brand of T company (Left Side)
Exposure result chart of the Max Sensitive ECL Western HRP substrate (MEIP80701) (Right Side)
Frequently asked questions and Answers
| Questions |
Possible Reasons |
Solutions |
| Film reverse phase (white band, black background) |
Excess of HRP in the system |
Dilute HRP marker at least 10-fold more (increase dilution of 2x primary antibody and 2x secondary antibody dilutions) |
| White dots or white vacuoles were present in the bands |
||
| Brown or yellow bands were present on the membrane |
||
| Intense luminescence was seen in the dark compartment |
||
| Too short duration of luminescent signal |
||
| The signal was weak or absent |
Too much HRP in the luminescent reaction system, consuming the substrate too fast, causes the signal to decrease rapidly |
Dilute the HRP marker at least 10 fold more |
| The amount of antigen / antibody is not enough |
Increasing antigen / antibody usage |
|
| Low rate of protein transfer |
Optimizing the transfer system |
|
| High background |
Excess of HRP in the system |
Dilute the HRP marker at least 10-fold more |
| Inadequate closure |
Optimization of closure procedures |
|
| Inappropriate choice of blocking reagent |
Selection of an alternative blocking reagent |
|
| Inadequate washout |
Increase the washout time and times |
|
| Overexposure |
Reducing exposure time |
|
| Too high concentration of antigen / antibody |
Reducing the concentration of antigen / antibody used |
|
| Protein bands were punctate |
Failure of protein transfer |
Optimization of the transfer process |
| Membrane un-equilibrium |
The membranes were processed according to the instructions |
|
| There were bubbles between the film and the membrane |
Remove all air bubbles before exposure |
|
| Non specific bands appeared (high background, short maintenance of signal) |
Excess of HRP in the system |
Dilution of HRP markers |
| Non-specific bands appeared (background clean signal maintenance time was normal) |
Excessive amounts of primary antibodies |
Further dilution of primary antibodies |
| SDS results in non-specific binding |
Avoid SDS during experiments |

Frequently Asked Questions
-
Why is IntelixBio LLC so popular?
IntelixBio has swiftly become a household name in the medical industry, primarily owing to its cutting-edge medical lab equipment. Our commitment to excellence resonates through every facet of our products, ensuring that laboratories worldwide receive top-tier solutions for their diagnostic needs. Our medical lab equipment is engineered with precision and innovation, embodying the pinnacle of technological advancement in the field. From state-of-the-art analyzers to automated specimen-handling systems, our extensive catalog caters to diverse laboratory requirements, fostering efficiency and accuracy in every diagnostic process. Laboratories entrust IntelixBio's medical lab equipment for its unwavering reliability, empowering healthcare professionals with the tools they need to deliver optimal patient care.
At IntelixBio, our dedication to advancing healthcare is exemplified through our unparalleled range of medical lab equipment. Each product is meticulously crafted to meet the exacting standards of modern laboratory environments, facilitating seamless integration and operation. Our commitment to quality permeates every aspect of our offerings, ensuring that laboratories can consistently rely on our medical lab equipment to deliver precise and dependable results. With a comprehensive selection that spans from basic laboratory essentials to sophisticated diagnostic instruments, IntelixBio remains the foremost choice for institutions seeking excellence in medical equipment solutions. Trust IntelixBio to elevate your laboratory capabilities with our innovative medical lab equipment, empowering you to drive progress in healthcare delivery.
-
What products do you offer?
At IntelixBio LLC, we offer high-quality medical lab equipment. Our lab supplies include:
- Protective gear
- Antibody immunodetection supplies
- Bioreagents
- Lab Supplies
- Immunohistochemistry Tools
- Instruments and Equipment
- PPE
- Sample preparation supplies
Visit our online shop to view our available medical lab equipment and purchase the items that match your unique styles and needs today.
-
Where do you ship your medical lab equipment?
We ship our medical lab equipment to customers nationwide. Browse our online shop to view our impressive inventory of available lab equipment today and purchase the products that meet your unique style and needs. We can't wait to prove why Intelixbio.com is one of the nation's best medical lab supply providers.
-
How can I contact your company?
You can reach IntelixBio LLC by phone at 240-316-3161, by email at info@intelixbio.com, or by filling out one of the contact forms on our website.
When you contact our team, you can expect fast, friendly, and professional assistance with all your medical lab equipment needs.











